Frontzahnästhetik

Asthetik ist ein dehnbarer Begriff.

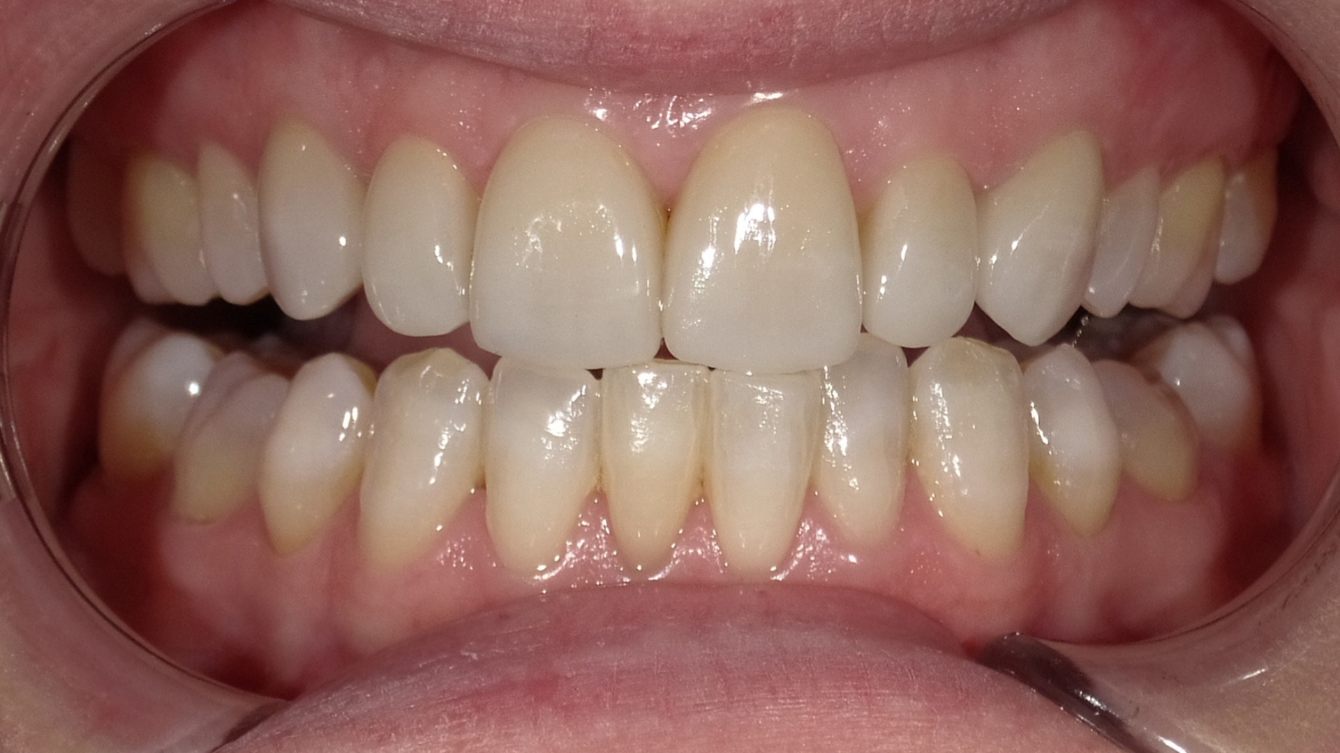
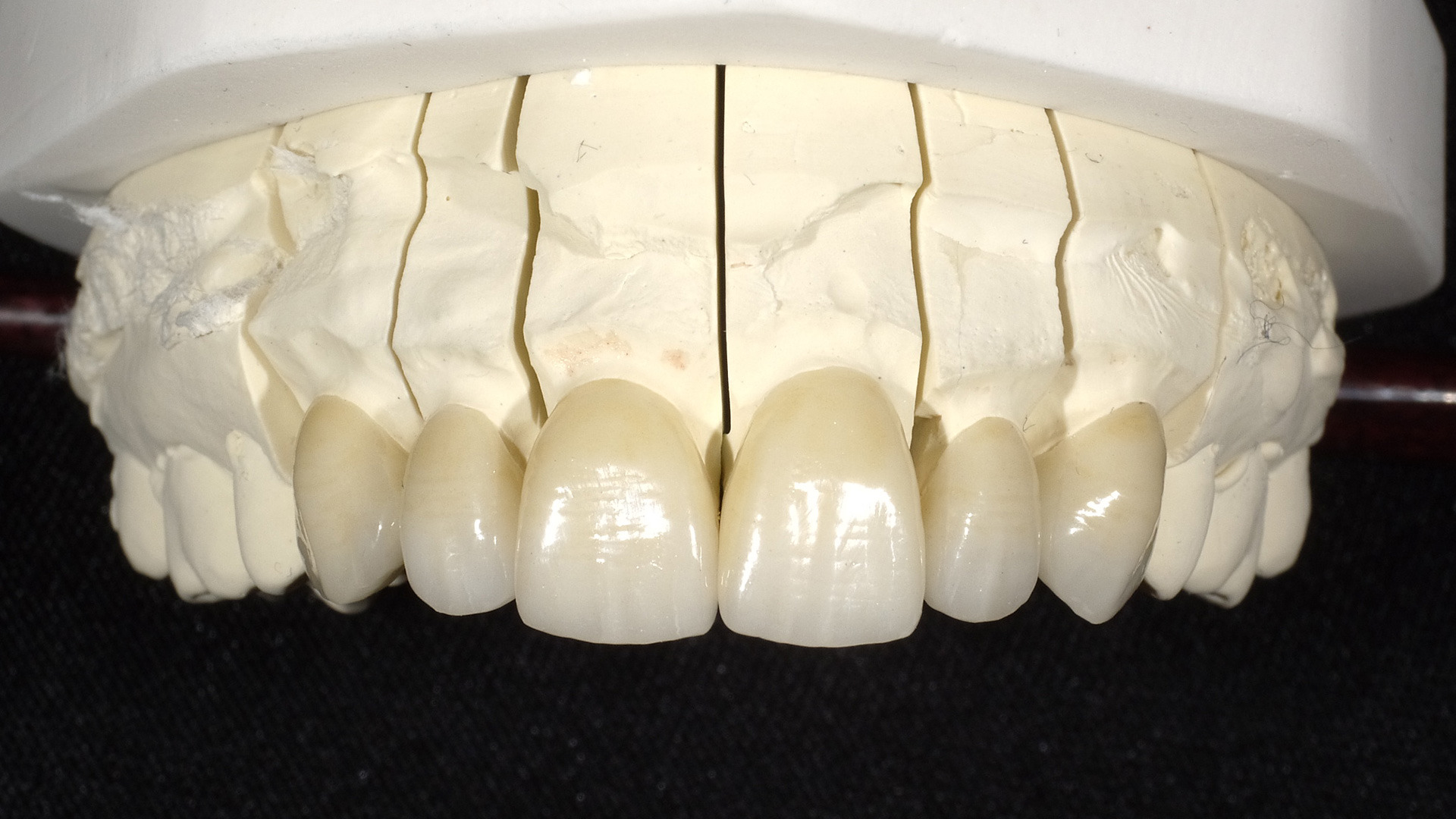
Gerade bei einzelnen Frontzahnkronen ist unser Fachwissen von unschätzbarem Wert. Natürliche Zähne haben ein großes Farbspektrum und verschiedene blau-violette Nuancen im Schmelzbereich.
Diese Charakteristik können wir exakt wiederherstellen. Als Zahntechniker ist es wichtig, sowohl zu verstehen, was man sieht, als auch zu wissen, wie man es umsetzt. Wir verfügen über langjährige Erfahrung mit allen Materialien und Techniken. Bei Emax-Kronen spielt additive Farbmischung eine wichtige Rolle. Stumpffarbe und Keramik ergeben gemeinsam die endgültige Farbe. Unser Konzept ermöglicht es uns, die natürliche Zahnfarbe zu 99% wiederherzustellen.
Schritte wie die dentalfotografische Erfassung der Ist-Situation, die Erstellung eines Schichtplans und die Auswahl der richtigen Emax-Pellets mithilfe von SNA-Shade-Navigation sind Teil unseres Prozesses. Erst wenn die Kronen bei der Rohbrand-Einprobe perfekt passen und dem Patienten gefallen, können Sie die Arbeit in Ihrer Praxis ohne weitere Anpassungen einsetzen.

Sie möchten uns Kennenlernen?

Wir kommen gerne bei Ihnen vorbei mit unseren Schauarbeiten anhand von echten Patientenfällen.
 

Arte Denta Zahntechnik

Keltenstraße 3
85256 Vierkirchen

Telefon: 08137 / 60 62 925-0
Mobil: 0179 / 75 74 541
Fax: 08137 / 60 62 925-9
E-Mail: info@arte-denta.de